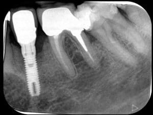
Résultat de l’arrêt du tabac chez un patient

Cas spectaculaire :

pas de traitement entre les deux radios sauf bains de bouche + brossettes et arrêt de la cigarette !