Barre ou Boutons-pression pour prothèse amovible complète : que choisir ?
Les avis divergent sur l’efficacité de la technique de barre par rapport à celle de boutons-pression quand il s’agit d’envisager la rétention d’une prothèse amovible complète. Voici quelques éléments de réflexion qui vous permettront d’y voir plus clair.
Fiche réactualisée mai 2024
Astuces :
– si vous cliquez sur un lien dans le texte (en général souligné ou en bleu), une page s’ouvrira séparément dans une nouvelle fenêtre, ce qui vous permettra d’avoir une vision plus synthétique et une exploitation plus efficace de toutes les informations
– si vous souhaitez imprimer cette fiche pratique il vous suffit de cliquer sur l’icône d’imprimante en haut à droite
- Boutons-pression à la mandibule
- Barre de Dolder à la mandibule
Des centaines d’articles ont été publiés sur les techniques de boutons-pression ou barres depuis une vingtaine d’années. Il faut bien faire la distinction entre la mandibule et le maxillaire qui sont des entités très différentes …
A la mandibule
Il ressort de l’analyse des publications que la technique des boutons-pression a été mal perçue dans les premières années d’application des techniques implantaires du fait de systèmes peu efficaces et par analogie aux traitements par boutons-pression supra-radiculaires sur des racines dentaires résiduelles qui étaient parfois précaires et d’ancrage médiocre.
La revue de la littérature scientifique montre que la technique de boutons-pression est à présent considérée comme une option de choix quand il s’agit d’améliorer la rétention d’une prothèse amovible complète à la mandibule, avec comme principaux avantages la simplicité d’exécution et la maintenance réduite par rapport aux barres.
Contrairement aux idées reçues, une barre vissée sur quatre implants engendre plus de complications mécaniques que deux boutons-pression (décrochage ou fractures de cavaliers par exemple).
Par ailleurs, l’élaboration d’une prothèse sur boutons-pression est relativement simple et peu onéreuse.
La prothèse existante peut être conservée si elle est encore satisfaisante, dans la mesure où le couloir prothétique correspond à l’émergence des implants (ce qui est presque toujours le cas).
L’entretien par le patient est facile et les problèmes gingivaux (inflammation, prolifération) sont inexistants.
Les réinterventions sont aisées (changement des anneaux de rétention ou des boutons-pression, rebasage).
La rétention d’une prothèse sur boutons-pression est aussi efficace que celle procurée par une barre.
Quelques situations ne se prêtent pourtant pas à la technique des boutons-pression à la mandibule :
Porte à faux prothétique antérieur :
Le montage des incisives (qui doit soutenir la lèvre) peut être déporté antérieurement par rapport au support osseux de la mandibule quand celle-ci est très résorbée :
Des forces d’incision verticales au niveau incisif entraînent alors un mouvement de bascule mal compensé par deux boutons-pression, lesquels sont placés trop postérieurement par rapport à la ligne incisive.
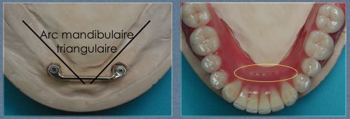
Dans cette situation, une barre de type Dolder compense plus efficacement ce porte à faux, le profil ovoïde de cette barre s’opposant plus efficacement à la bascule antérieure :
Insertion prothétique difficile
Il arrive que les implants soient placés en émergence relativement linguale pour des raisons anatomiques ou qu’ils ne soient pas parallèles
Dans le cas de boutons-pression (qui sont dans l’axe des implants), un patient peut alors avoir des difficultés à positionner sa prothèse sur les boutons-pression. Cette difficulté peut être insurmontable chez un patient âgé à agilité réduite ou chez un patient nerveux qui risque de détériorer rapidement les parties femelles des attaches !
Il est donc préférable dans ces situations de concevoir une barre : la barre est orientée au laboratoire selon un axe d’insertion prothétique adapté, en l’occurence légèrement vers l’avant :
Le patient est alors beaucoup plus à l’aise pour insérer et désinsérer sa prothèse et les risques de complications mécaniques sont nettement diminués
Résorption postérieure importante et compression du canal dentaire
La prothèse sur boutons-pression n’est soutenue efficacement que dans la zone antérieure
Dans le cas de résorption importante, une compression du canal dentaire est possible postérieurement
Il est préférable de choisir une option de barre avec des cavaliers distaux afin de diminuer cette compression postérieure :
Tout en sachant que la pression verticale sur ces cavaliers distaux entraînera plus de maintenance (perte possible d’un cavalier ou fracture etc…) par rapport à une barre avec un seul cavalier central qui aura une possibilité de légère rotation sur la barre en cas de pressions importantes appliquées sur les zones molaires.
Au maxillaire
De par ses caractéristiques anatomiques, le maxillaire offre un ancrage osseux de moindre qualité aux implants qui sont de ce fait moins résistants à des forces non axiales.
Plusieurs études ont montré qu’une perte osseuse pouvait être observée quand des implants non solidarisés au maxillaire étaient porteurs de boutons-pression pour une prothèse complète.
Voir l’article « prothèse complète sur boutons-pression au maxillaire ?« .
Il faut donc dans presque tous les cas de prothèse amovible complète au maxillaire donner la préférence à une option de barre, laquelle sera préférentiellement supportée par un minimum de quatre implants afin de consolider l’ancrage global.
Il est par ailleurs important dans le cas d’une barre réduite au secteur antérieur de conserver un appui palatin de la prothèse afin d’avoir une sustentation verticale plus efficace et de diminuer les stress mécaniques sur la barre antérieure en cas de pressions importantes au niveau des molaires (photo de gauche).
Si la barre est étendue sur toute l’arcade (photo de droite) le palais pourra alors être supprimé car la prothèse sera totalement implanto-portée.
- barre sur 4 implants au maxillaire
- barre sur 6 implants (à 20 ans)
Consultez par ailleurs la fiche pratique « Prothèse sur barre de Dolder : observations et mise en oeuvre »
En cas de questions, n’hésitez pas à nous contacter au 03 88 23 15 15 !









