Informations pour vos patients : la technique des implants dentaires
Cette information a été réalisée par le Cabinet des Docteurs Metz, Zettel et Delarue
DÉFINITION, HISTORIQUE
Pour prendre une image familière, on peut comparer un implant à une cheville placée dans un support (l’os) et dans laquelle vient se fixer l’élément prothétique (couronne par exemple).
Il ne doit pas être confondu avec ce que l’on nomme populairement une dent à pivot, celle-ci étant insérée dans une racine dentaire naturelle existante
C’est à partir des années 60 que l’implantologie acquiert ses lettres de noblesse, grâce aux travaux d’une équipe Suédoise coordonnée par le Professeur Bränemark et d’une équipe Suisse dirigée par le Professeur Schroeder qui mettent au point la technique des implants ostéo-intégrés dont toutes les firmes mondiales s’inspirent actuellement.
Leurs travaux sont publiés dans les années 80 et sont à l’origine du renouveau de l’implantologie. Depuis lors, plusieurs centaines de milliers d’implants ont été posés avec succès dans le monde.
QUEL EST LE RÔLE D’UN IMPLANT ?
Un implant peut permettre de pallier l’absence d’une dent, de plusieurs dents ou de toutes les dents de la mâchoire supérieure ou inférieure.
1/ Absence d’une dent
La démarche classique consiste à construire un pont (ou bridge) : la dent remplacée est nécessairement soutenue par deux couronnes fixées sur les dents voisines qui sont les piliers du pont. Cette option de traitement nécessite de “tailler” les dents, ce qui pose un problème conceptuel quand celles-ci sont intactes.
La solution implantaire apparaît dans ce cas très intéressante puisqu’elle permet, pour le remplacement d’une dent absente, de préserver les dents voisines.
2/ Absence de plusieurs dents
Plusieurs dents absentes peuvent être remplacées par un pont ou une prothèse amovible.
La réalisation d’un pont ‘est pas toujours possible (absence de piliers à l’arrière ou dents saines qui ne nécessitent pas d’être taillées)
3/ Absence de toutes les dents
Classiquement, un édentement total est restauré au moyen d’une prothèse amovible complète. Si celle-ci est en général bien supportée à la mâchoire supérieure, il n’en va pas de même pour la prothèse inférieure. En effet cette prothèse peut être inconfortable et douloureuse du fait d’un manque de stabilité et elle peut représenter un véritable handicap.
La pose de deux ou de plusieurs implants recouverts de systèmes d’attaches type « boutons pressions » permet d’augmenter considérablement la tenue et le confort de la prothèse, laquelle est ainsi beaucoup mieux acceptée par le patient
La pose de plus d’implants permet même de restaurer l’arcade édentée au moyen d’un bridge fixe qui permet de supprimer les inconvénients liés à une prothèse amovible
EN QUOI CONSISTE LA TECHNIQUE ?
La chirurgie est faite au cabinet dentaire sous anesthésie locale. C’est un acte non douloureux qui entraîne rarement des suites opératoires.
Le forage est effectué à une vitesse de rotation précise, en général inférieure à 1000 tours/minute. Les forets utilisés sont de diamètre croissant, allant jusqu’à 4 mm environ. Ils ont un pouvoir de coupe important, ce qui limite l’échauffement lors du travail. Un système d’irrigation assuré par un liquide de refroidissement stérile, évite un échauffement au niveau de l’os qui conserve ainsi son pouvoir de régénération.
Chronologie d’un cas
– La première étape, chirurgicale, consiste à placer l’implant au niveau de la crête osseuse.
– Classiquement , une phase d’attente de 2 à 6 mois est nécessaire pour que les cellules osseuses viennent coloniser la surface de l’implant et que celui-ci soit “ostéo-intégré”. Pendant cette période, le patient ne remarque pas de changement par rapport à la situation précédente. Une prothèse amovible, par exemple, continue d’être portée sans précautions particulières, si ce n’est pendant les quinze jours qui suivent la chirurgie implantaire. Cette période initiale est en effet délicate et il est important que l’implant, encore faiblement ancré à ce stade, ne soit pas sollicité mécaniquement par la prothèse
– À la fin de cette période d’attente, après vérification de la bonne ostéo-intégration de l’implant, un élément prothétique est mis en place sur l’implant ; il peut s’agir d’un système d’attache de type “bouton pression” ou d’une couronne en céramique par exemple
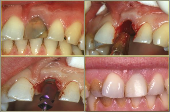
– Nouvelle technique : implantation immédiate
Une nouvelle option consiste à mettre en place immédiatement après la pose de l’implant une couronne provisoire pour éviter le port d’une prothèse amovible inconfortable et permettre par ailleurs de conserver le volume initial des tissus (os et gencive). Les conditions anatomiques doivent être idéales avec en particulier un ancrage osseux solide de l’implant. La technique peut même être poussée jusqu’à pratiquer dans le même temps opératoire l’extraction de la dent, la mise en place de l’implant et de la couronne provisoire :
Les avantages de ce protocole sont nombreux, avec en particulier la suppression d’une prothèse provisoire mobile, la diminution du nombre de chirurgie (plus qu’une seule séance) et un rendu esthétique optimisé du fait de la conservation instantanée des structures osseuses et gingivales
QUI PEUT RECEVOIR UN IMPLANT ?
QUELLES SONT LES CONTRE-INDICATIONS À CE TRAITEMENT ?
Un sujet pour lequel une chirurgie, quelle qu’elle soit, est déconseillée du fait d’un mauvais état de santé (problème cardiaque sérieux par exemple) ne peut à fortiori subir de chirurgie buccale. Par ailleurs, certaines maladies ne permettent pas un pronostic certain pour la réussite d’un traitement implantaire : un diabète grave non équilibré, une ostéoporose sévère ou certaines maladies systémiques, par exemple, peuvent être considérés comme des contre-indications relatives à une chirurgie implantaire.
Ces réserves posées, on peut affirmer que toute personne est capable d’intégrer un implant à partir du moment où un protocole chirurgical et prothétique strict a été respecté.
Dans le monde, des dizaines de milliers de patients, âgés de quinze à quatre-vingt-dix ans, sont porteurs d’implants.
Toutes les statistiques portant sur l’étude du maintien dans le temps de l’ostéointégration des implants donnent des chiffres supérieurs à 90 % de réussite à la mâchoire inférieure et légèrement inférieurs à 90 % à la mâchoire supérieure sur des périodes d’observation de plus de vingt ans.
En cas d’échec de l’intégration (phénomène décelable dans la majorité des cas avant que la phase prothétique ne soit commencée), l’implant est facilement déposé, sous anesthésie locale. Un nouvel implant peut en général être mis en place au même endroit après une période de régénération osseuse d’environ 2 à 3 mois.
CONCLUSION
L’implantologie représente un énorme progrès pour la dentisterie contemporaine en offrant un service sans égal pour palier une situation d’édentement.
Mais l’enthousiasme qu’engendrent les succès de l’implantologie ne doit pas pour autant nous inciter à privilégier systématiquement cette option. Ce choix est l’aboutissement d’une réflexion rigoureuse qui a permis de vérifier si une solution classique plus simple n’était pas appropriée. En effet, il faut être conscient du fait que la démarche implantaire passe par une observation pré-opératoire très complète, par un ou plusieurs actes chirurgicaux, par une période d’attente vécue parfois impatiemment et par une restauration prothétique parfois longue et complexe. Enfin, il faut préciser qu’une restauration implantaire est onéreuse et n’est pas prise en charge par l’Assurance Maladie en France.
C’est en ayant pris connaissance de tous ces éléments d’information que vous pourrez avec votre chirurgien-dentiste choisir la solution la plus adaptée à votre cas
Document pdf à imprimer pour vos patients







