Mise en charge immédiate (MCI) au maxillaire. Cas clinique 2024
Comment extraire, implanter et placer un bridge provisoire en une seule étape chirurgicale pour réhabiliter une arcade complète maxillaire avec des implants dentaires ?
Ce cas clinique réalisé par le Docteur Anne Claire Metz en 2024 illustre une technique de mise en place d’un bridge transvissé deux jours après la phase chirurgicale.
Madame B. âgée de 59 ans, est adressée pour l’absence des dents 21 et 22 remplacées par une prothèse amovible inconfortable et inesthétique. Le sourire très gingival laisse apparaître des défauts disgracieux.
Un examen clinique approfondi et une étude cône beam montrent une situation dégradée sur beaucoup de dents et une restauration complète est envisagée au maxillaire.
Par ailleurs, le découvrement de la lèvre créant un sourire très inesthétique, la restauration implanto-prothétique devra tenir compte de cet aspect très important pour la patiente.
Vidéos d’enregistrements réalisés avec une caméra Itéro :
avec la prothèse amovible :
sans la prothèse amovible :
Le projet chirurgical permet d’envisager d’extraire l’ensemble des dents maxillaires et de placer six implants entre 15 et 25 pour la réalisation d’un bridge transvissé de 12 éléments :
La pose des implants devra (et pourra) être précédée d’une résection osseuse verticale suffisante après les extractions afin de remonter la ligne de transition implanto-prothétique à la limite du découvrement de la lèvre pour assurer un sourire plus esthétique. C’est ce dernier point qui décide la patiente à accepter ce plan de traitement de restauration globale.
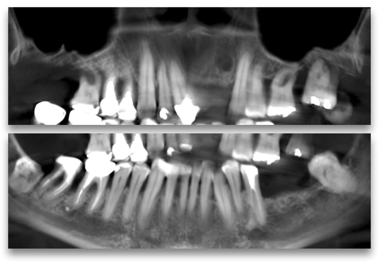
Dans ce cas, la pose des implants a été réalisée sans guide chirurgical : ce sont les alvéoles déshabitées qui ont guidé les forages.
Radio de contrôle post-opératoire (les alvéoles ont été comblées par os autogène et BioOs) :

Notez que l’axe des implants distaux a permis d’éviter les sinus pour une simplification du protocole chirurgical
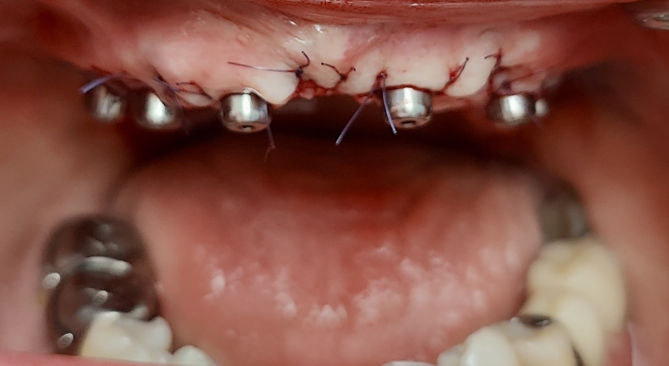
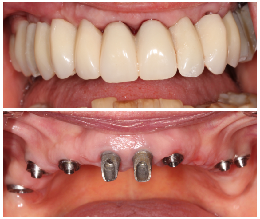
Vue clinique en fin de chirurgie des implants recouverts de piliers coniques :
Les piliers sont alors coiffés par des transferts pour enregistrement numérique (scanbodies) :
Une petite clef en silicone initiale réalisée avec les dents en place avant le début de l’intervention (s’appuyant sur les dents inférieures et la tubérosité maxillaire) a permis d’enregistrer la PIM. Cette clef est repositionnée pour l’enregistrement de l’occlusion :
Vidéo de la prise d’empreinte numérique avec caméra Itéro :
Vues cliniques le lendemain (au moment de la pose du bridge provisoire) :
Bridge provisoire transvissé réalisé au laboratoire :

Ce bridge a été réalisé en technique d’impression numérique avec création de la fausse gencive par maquillage de surface
Bridge provisoire en place avec un rendu esthétique satisfaisant :
Détail de la fausse gencive du bridge provisoire en bouche :
Une attente de 4 mois est alors nécessaire pour l’intégration des implants avant de passer à la réalisation du bridge final
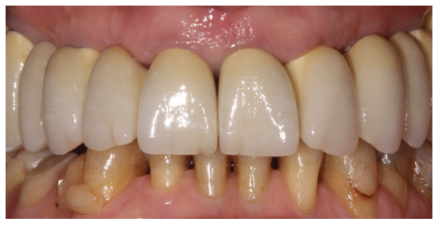
Radio de contrôle à 4 mois :
Aspects esthétiques à 4 mois :
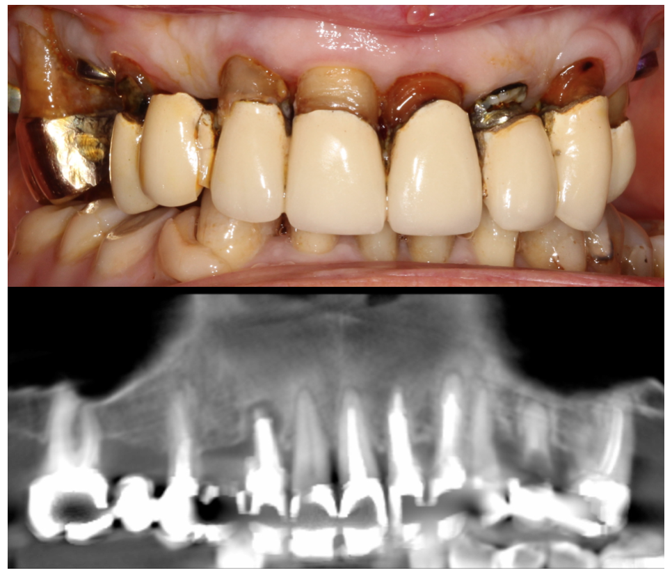
Pour mémoire cas au départ :
Le point déterminant de la réussite esthétique de cette restauration a tenu au fait qu’au moment de la chirurgie initiale, la ligne de transition implanto-prothétique a été relevée au-delà de la ligne du sourire.
La réalisation finale est en cours et sera rajoutée prochainement.
































